
How far along: 20 weeks
Total weight gain: 4 lbs
Maternity clothes: Always & forever! But seriously, I live for loose & flowy, as well as full panel maternity leggings. I will never get sick of those 🙂
Stretch marks: A few new ones on my sides.
Sleep: That’s a sore subject right now. It’s just warming me up to having another newborn. However, sleeping passed 6:30 am, would be really nice. Especially since Hayes doesn’t wake up until 8.
Best moment of this week: Any time I get to take my bra off & climb in bed. hahaha!
Miss anything: I miss ibuprofen. These hormones headaches are wearing me out.
Movement: I think I’ve felt a few flutters. The placenta is posterior, just like Hayes’. So it takes me a little longer to feel consistent movements.
Food cravings: Hard shell tacos, Cherry Coke & anything hot & starchy.
Anything making you queasy or sick: I can’t handle raw chicken. I’m also grateful that the weather is cooling down. Heat is one of the main causes of nausea for me.
Have you started to show yet: Definitely.
Gender: Baby brother! Woot Woot!
Wedding rings on or off: I haven’t been able to wear my wedding ring since Hayes.
Happy or moody most of the time: Happy, but emotional 🙂
Looking forward to: Our official 20 week check-up. (My appointments are usually a few days after when I get to 20 weeks.
UPDATE
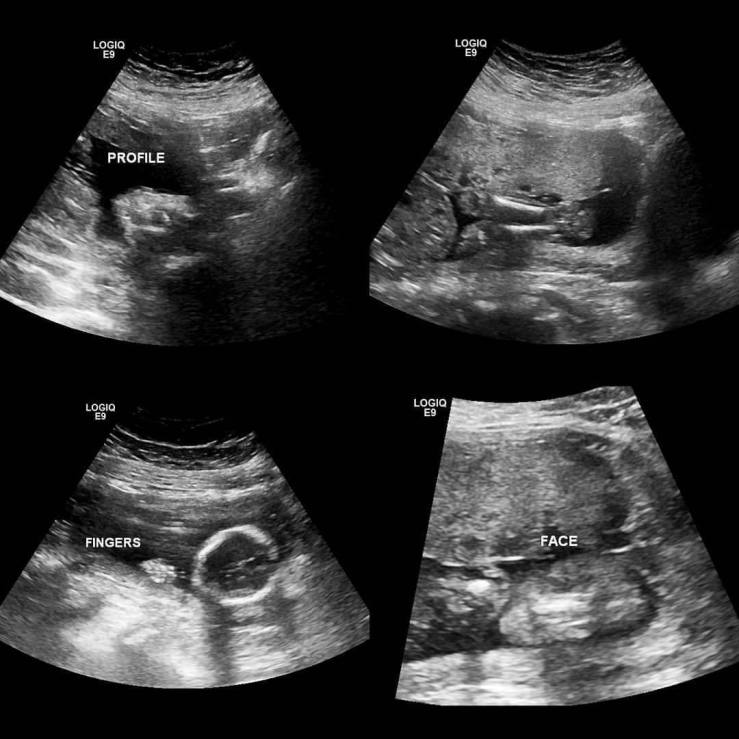
Our 20 week ultrasound was awesome. We got to see brother & he’s happy & healthy. He was moving around so fast we didn’t get a great image of his cute little profile. But here are a few of our favorites!
